Radiology Lab
Introduction of Radiology
Patanjali Yogpeeth has latest Ultrasound Machines Siemens ACUSON NX3, with multiple probes with different frequencies for better diagnosis.
The Patanjali Yogpeeth is having 500 mA Siemens latest X-Ray Machine with CR attachments for better diagnosis.
The Nadi Chiktsa Vigyan has been replaced with modern diagnostic machine/tools like Ultrasound Machine/X-Ray machine/computed Radiography/ CT Scan/MRI in the Patanjali Yogpeeth. The Yog and Ayruvedic medicine is advised for different body ailments and diseases where we monitor the effect of Yog and Ayurvedic medicine on body by Ultrasound imaging of different organs like liver, uterus, and blood vessels.
This Patanjali Yogpeeth is fully devoted for research activities and its affect of Yog and Ayurvedic medicines. We have reached to a success to some extent
These all test are done at no profit and loss at appropriate rate. So, it is appealed to the public to get benefit of these facilities of advance techniques at our Patanjali Yogpeeth.
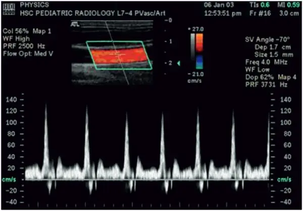
Doppler Sonography
Sonography can be enhanced with Doppler measurements, which employ the Doppler effect to assess whether structures (usually blood) are moving towards or away from the probe, and its relative velocity. By calculating the frequency shift of a particular sample volume, for example a jet of blood flow over a heart valve, its speed and direction can be determined and visualised. This is particularly useful in cardiovascular studies (sonography of the vasculature system and heart) and essential in many areas such as determining reverse blood flow in the liver vasculature in portal hypertension. The Doppler information is displayed graphically using spectral Doppler, or as an image using color Doppler (directional Doppler) or power Doppler (non directional Doppler). This Doppler shift falls in the audible range and is often presented audibly using stereo speakers: this produces a very distinctive, although synthetic, pulsing sound.